Smile Gallery




Andy knew he had some cavities and also didn’t like the appearance of his crowded lower front teeth and crooked smile. After we used Invisalign to straighten his pearly whites, we replaced the crowns on Andy’s upper to front teeth to make them healthy and cavity-free.

Jack wanted a straighter smile and easily trapped plaque around his crowded lower front teeth. With Invisalign, Dr Bancroft straightened Jack’s smile and also made it easier for him to keep his teeth clean and gums happy!

This patient was starting to notice crowding at her upper and lower front teeth that were noticeable in photos and causing food collection between her teeth.
She went through Invisalign treatment to correct some bite issues as well and is thrilled with her results! Now we have a healthy mouth as well as a perfect smile:)
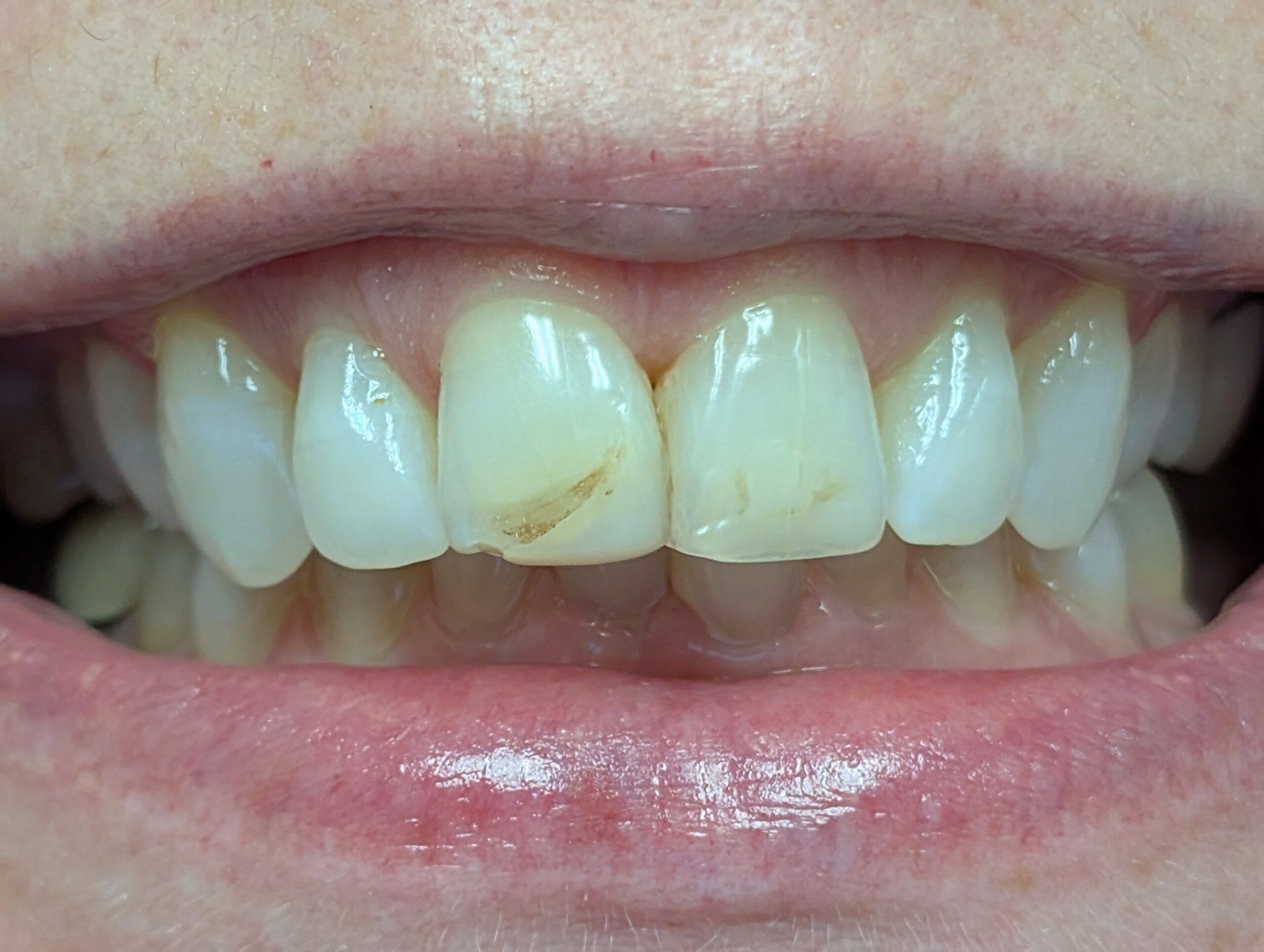
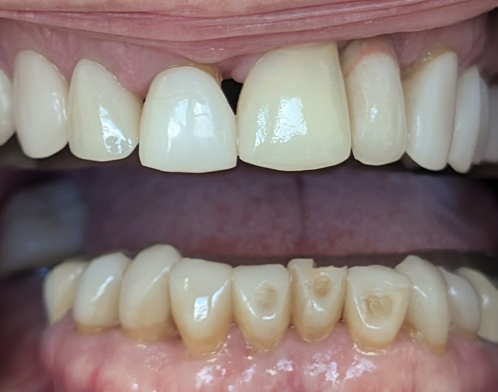
Porcelain Crowns

Ed’s existing 25 year old crowns were in need of replacement. Using new porcelain crowns, we recreated a natural-looking white smile.

Arlene was ready to invest in herself and show off a beautiful white smile. With porcelain crowns we were able to create a pearly white smile that she is thrilled with!

Vicky was unhappy with her uneven smile and dark front teeth. Using porcelain crowns on her upper and lower teeth, we created the beautiful white smile she has always wanted!


Veneers

This patient wasn’t happy with her uneven smile and noticed that her teeth were getting shorter over time.
She was really concerned with making sure that her smile still looked natural after veneers and not “too white.” She loved the result!
Filling Makeover


While we promote preserving fillings for as long as possible, sometimes patients just don’t like how silver fillings look when they laugh and smile. This patient wanted to replace her silver fillings with tooth colored composite fillings to match the rest of her beautiful white smile.
Whitening

Case 1

Case 2
